精密根管治療
(歯内療法)

SPECIALIZED IN ENDODONTIC CARE

札幌で根管治療にお悩みの方へ

PROBLEM

何度も治療しているのに治らない、その原因をご存じですか?

このようなお悩みを抱えて、
さっぽろ元町歯科クリニック
受診される方は少なくありません。

根管治療は、歯科治療の中でも 治療結果に大きな差が出やすい分野 です。
同じ「根管治療」という言葉でも、

  • 診断の精度
  • 使用する設備
  • 治療に対する考え方
  • 担当する歯科医師の専門性

によって、その歯の将来は大きく変わります。

根管治療を繰り返しても治らない本当の理由

REASON

「きちんと治療したはずなのに、なぜまた痛くなるのか」
「何度も通院したのに、なぜ再発するのか」
その原因の多くは、治療技術そのものではなく
“診断と情報の不足” にあります。

歯の根の中(根管)は、非常に細く複雑に曲がり人によって本数や形が異っています。

にもかかわらず、肉眼のみ、2次元のレントゲンのみ、経験や勘に頼った判断で
治療が始まると、感染源を正確に把握できないまま処置が進んでしまう ことがあります。
その結果、一部の根管が未処置のまま残ったり、感染組織が取り切れなかったりして、数か月〜数年後に再発してしまうのです。

なぜ「抜歯しかない」と言われてしまうのか

WHY

「この歯はもう抜歯しかありません」

そう言われ、大きなショックを受けた方も多いのではないでしょうか。
確かに、歯の状態によっては保存が難しいケースも存在します。
しかし実際には、適切な診断設備専門的な知識及び材料があれば、
保存可能な歯が抜歯と判断されているケースも少なくありません。

特に、再根管治療、何度も治療されている歯、症状が長期間続いている歯は難易度が高く、
一般的な診療体制では対応が難しいため、「抜歯」という判断が選択されやすくなります。

当院には、
「他院で抜歯しかないと言われた」
「もう歯を残すのは無理だと説明された」
という方が多く来院されています。
その中には、精密な診査と適切な根管治療を行うことで、
抜歯を回避し、ご自身の歯を保存できた症例が数多く存在します。

日本の根管治療の現状

STATUS

― なぜ成功率に差が生じるのか ―

根管治療(歯内療法)は、歯を残すための高度な専門治療ですが、
日本では欧米諸国と比較して成功率が高いとは言えない現状が、複数の研究で指摘されています。
ヨーロッパの歯内療法ガイドラインでは、治療後4年以内に歯の根の先にみられる病変(根尖部病変)が
完全に消失していることを「成功」と定義しています。
この国際基準で評価すると、日本では根管治療後の歯の50%以上に病変が残存しているという報告もあり、
諸外国と比べて成功率に差があることが示されています。

その大きな要因の一つが、無菌的処置環境が十分に徹底されていない現状です。
根管治療の成功には、治療中に細菌を根管内へ侵入させないことが不可欠であり、
その基本となるのがラバーダム防湿です。

ラバーダム防湿は、唾液や細菌による汚染を防ぎ、根管治療の成功率を高めるために不可欠です。

欧米では必須条件とされている一方、日本では使用率が低いことが問題とされています。
報告によると、ラバーダムを「常に使用している」と回答した割合は、
一般歯科医師:約 5%と言われています。

このことは、無菌的でない環境下で根管治療が行われているケースが
少なくないことを示しており、再感染や再発につながる要因の一つと考えられています。

アメリカ歯内療法学会が示している治療の基本方針

ラバーダム防湿は非外科的根管治療に書くことが
できない必須の基本処置

歯内療法の目的は根管系の消毒であり、
ラバーダム防湿だけが細菌を根管治療中に
混入するリスクを最小限にできる

さらに日本では、肉眼での処置や2次元レントゲンのみの診断が中心となり、
マイクロスコープや歯科用CTが十分に活用されていないケースも少なくありません。
一方、欧米では専門医によるマイクロスコープ下治療、
CTによる三次元診断、ラバーダム防湿が標準的に行われています。
根管治療の結果は、歯科医師の経験や技術だけで決まるものではありません。
どのような診断が行われ、どのような環境で、どのレベルの精密さで治療が行われたが、
歯の長期的な予後を大きく左右します。

「どこで、どのような体制で根管治療を受けるか」
これが、特に重要なポイントだと言えるのです。

参考文献『わが国における歯内療法の現状と課題』須田 英明 (東京医科歯科大学大学院医歯学総合研究科接触機能保存学講座歯髄生物分野/平成23年 発表)

さっぽろ元町歯科クリニックの精密根管治療

当院では、歯内療法(根管治療)を専門とする歯科医師 が、診査・診断から治療、
経過観察まで一貫して担当します。

  • 歯科用CTによる三次元診断
  • マイクロスコープによる拡大視野下治療
  • ラバーダム防湿による無菌的環境
  • ニッケルチタンファイルによる精密な処置

これらを組み合わせ、再発リスクを最小限に抑え、歯の寿命をできる限り延ばすこと を
目指しています。

本当にこの歯を残せるのか、不安な方へ

歯を残せるかどうかは、正確な診断と適切な治療環境が整っているか で大きく変わります。
当院では、

  • なぜこの治療を選ぶのか
  • なぜ抜歯ではないのか

を丁寧に説明し、患者さんが理解・納得したうえで治療を進めることを大切にしています。

これらのお悩みの多くは、根管内の感染源が完全に除去されていないことが原因です。

当院の歯内療法医はこれらの問題を迅速に的確に解決します

根管治療(歯内療法)とは

歯を残すための専門治療

根管治療(歯内療法)とは、深刻なむし歯や外傷などにより、歯の中の神経(歯髄)が炎症や感染を起こした場合、または過去に行った根管治療後に再感染が生じ、歯の根の先に病変が確認された場合に行う専門的な治療です。

歯の内部に感染が及ぶと、強い痛みや腫れを引き起こすだけでなく、放置すると抜歯が必要になることもあります。

根管治療では、痛みや腫れの原因となる感染組織や細菌を徹底的に除去し、根管内を清掃・消毒したうえで再感染を防ぐ処置を行います。これにより、抜歯を回避し、天然の歯をできる限り長く残せる可能性が高まります。

一方で、歯の神経や根管は非常に細く、複雑に曲がり、本数や形態にも個人差があります。

そのため、根管治療は歯科治療の中でも特に難易度が高く、診断の正確さ、治療の精密さ、歯科医師の専門的な知識と技術が治療結果を大きく左右します。

当院では、歯の寿命をできる限り延ばすことを治療の目的とし、歯科用CTによる精密診断、マイクロスコープ下での拡大視野治療、ラバーダム防湿を用いた無菌的処置などを組み合わせた、精密根管治療(精密歯内療法)を行っています。

当院の根管治療の特徴

マイクロスコープによる精密根管治療

マイクロスコープとは、治療部位を最大で数十倍まで拡大して確認できる歯科用顕微鏡です。

根管治療では、根管の入口や分岐、感染部位などが非常に小さく、肉眼での確認には限界があります。当院ではマイクロスコープを使用し、根管内部を拡大視しながら治療を行うことで、見逃しや取り残しを防ぎます。精密な処置を行うことで、再発のリスクを抑え、歯を長く使い続けられる可能性を高めています。

世界基準の治療の提供

当院では、American Association of Endodontists(米国歯内療法学会)の specialist member である歯内療法専門の歯科医師が治療を担当しています。
世界的に確立されたエビデンスや治療基準に基づき、科学的根拠を重視した根管治療を提供しています。国内外の最新知見を取り入れながら、症状や歯の状態に応じた最適な治療方法を選択し、質の高い歯内療法を実践しています。

CTによる正確な診査診断

歯科用CTは、断層写真を画像処理することで、お口の中を三次元的に観察することができるようにする検査機器です。
根管の形態や本数、病変の広がりはレントゲンだけでは正確に判断できない場合があります。当院では必要に応じて歯科用CTを使用し、根の状態や骨の変化を立体的に確認します。これにより、見えない感染源の特定や治療方針の精度が向上し、無駄のない確実な根管治療につながります。

ラバーダム防湿とニッケルチタンファイル

当院では、根管治療の成功率を高めるために、治療環境と器具にもこだわっています。
ラバーダム防湿は、治療する歯だけをゴム製のシートで隔離し、唾液や細菌の侵入を防ぐ方法です。根管内を無菌的な環境に保つことで、再感染のリスクを大きく低減できます。また、柔軟性に優れたニッケルチタンファイルを使用することで、複雑に湾曲した根管にも追従しやすく、歯を削りすぎることなく、精密で安全な根管形成が可能になります。こうした基本を徹底することが、歯を長く守る治療につながると考えています。

無菌的処置環境

根管治療では、細菌を根管内に侵入させないことが非常に重要です。当院では、治療器具や環境の衛生管理を徹底し、無菌的な処置環境を整えています。
医療器具の滅菌には、世界で最も厳格なヨーロッパ規格の最高基準「クラスB」に準拠したオートクレーブ(高圧蒸気滅菌器)を完備しています。徹底した感染対策のもとで治療を行うことで、再感染のリスクを最小限に抑えています。

歯内療法とは

Endodontics

歯内療法は未来に歯を残すための“最後の砦”です。
歯の内部には、歯髄と呼ばれる血管・神経組織が存在します。
歯内療法は、この歯髄および根管を対象とした治療分野であり、
天然歯の保存を目的としています。

初回根管治療

(初めて神経を取る歯の治療)

初回根管治療とは、深いむし歯や外傷などにより、初めて歯の神経(歯髄)を除去する必要がある歯に対して行う根管治療です。
この段階では、感染が歯の根の中に限局していることが多く、正確な診断と精密な処置を行うことで高い成功率が期待できるとされています。
一方で、初回治療が不十分な場合、根管内に細菌が残存し、将来的に再感染や再治療が必要となるリスクが高まります。
そのため、初回の根管治療こそが歯の寿命を大きく左右する最も重要な治療段階といえます。
当院では、歯科用CTによる精密診断、マイクロスコープ下での拡大視野治療、ラバーダム防湿による無菌的処置を徹底し、再発リスクを抑え、歯を長く残すことを目的とした精密根管治療を行っています。

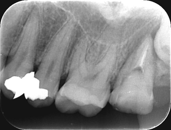
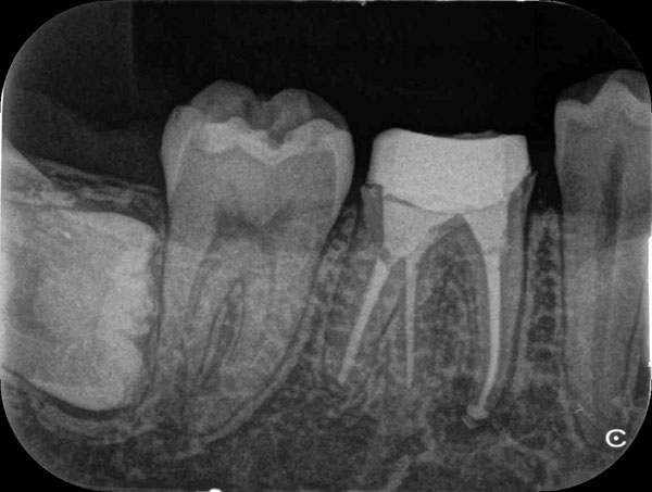
術前
術後

症例について

主訴:
歯茎が腫れたので診てほしい

治療内容:
感染や炎症を起こした歯の神経を取り除き、根の中を清掃・消毒したうえで再感染を防ぐ治療です。

治療期間:60分 1回

費用:初回根管治療 132,000円(税込)/ 支台築造 16,500円(税込)

治療に関わるリスクまたは副作用:
症状が改善しない場合や、再治療、外科的歯内療法が必要になることがあります。

再根管治療

(根管治療後に再発した歯の治療)

再根管治療とは、過去に根管治療を受けた歯において、治療後に痛み・腫れ・違和感が再び生じた場合に行う根管治療です。
レントゲン上で歯の根の先に病変が確認された場合や、症状が繰り返す場合に適応となります。
再根管治療では、過去に詰められた充填材の除去や、見逃されていた根管の探索、複雑に湾曲した根管形態への対応が必要となるため、初回根管治療よりも難易度が高く、高度な技術と精密な診断が求められます。
原因を正確に特定せずに治療を行うと、再発を繰り返し、最終的に抜歯に至るリスクも高まります。
そのため、再根管治療では「なぜ再発したのか」を見極めることが最も重要です。
当院では、歯科用CTによる三次元診断と、マイクロスコープ下での拡大視野治療を行い、感染源や未処置部位を正確に特定したうえで、歯を残す可能性を最大限に高める精密再根管治療を行っています。

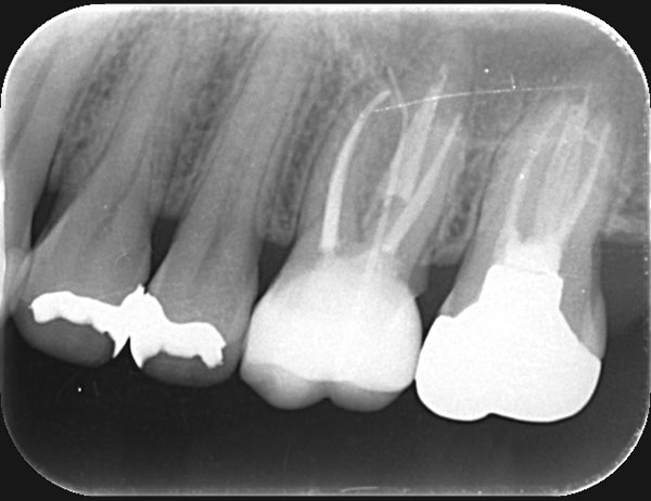
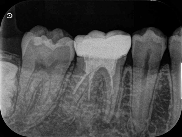
術前
術後

症例について

主訴:
硬いものを食べると違和感があり疲れたら歯が浮いてる様な感じがする

治療内容:
過去に行った根管治療をやり直し、再感染の原因を取り除く治療です。

治療期間:各90分 2回

費用:クラウンコア除去 5,500円(税込)/ 隔壁形成 5,500円(税込)/ 再根管治療 132,000円(税込)/ 築造 16,500円(税込)

治療に関わるリスクまたは副作用:
症状が改善しない場合、外科的歯内療法または抜歯が必要になることがあります。

歯髄保存療法

(神経を残す治療|バイタルパルプセラピー)

歯髄保存療法は、可能な限り歯の神経(歯髄)を残し、歯の寿命を延ばすことを目的とした治療です。
むし歯が深く「神経を取る必要がある」と言われた場合でも、状態によっては根管治療を回避できる可能性があります。
歯髄保存療法では、歯髄の炎症の程度や感染状況を見極めたうえで、覆髄(間接覆髄・直接覆髄)や、MTAセメントなどの生体親和性の高い材料
を用いた処置、さらに部分断髄(バイタルパルプセラピー:VPT)
を行うことがあります。
神経を残せると、歯の乾燥や脆弱化を抑えやすい将来的な歯の強度・破折リスクに配慮できる必要以上に歯を削らずに済む場合があるといった利点が期待できます。
一方で、歯髄保存療法はすべてのケースに適応できる治療ではありません。
当院では、症状・検査所見・むし歯の深さや部位を総合的に評価し、歯の将来的な強度と予後(長持ち)を最優先に、適応を慎重に判断します。

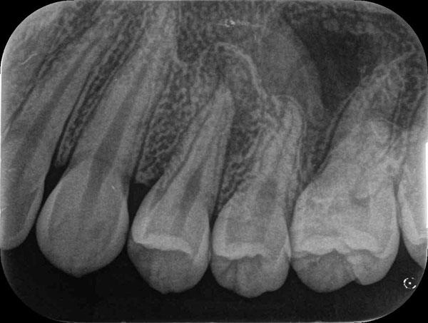
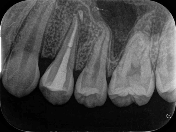
術前
術後

症例について

主訴:
最近冷たい物がよく染みる

治療内容:
炎症を起こした歯髄を部分的に除去し、神経をできるだけ残すことを目的とした治療です。

治療期間:90分 1回

費用:33,000円(税込)

治療に関わるリスクまたは副作用:
経過中に症状が出た場合、根管治療が必要になることがあります。

歯根端切除術

(外科的歯内療法)

歯根端切除術は、通常の根管治療や再根管治療を行っても症状の改善が難しい場合に検討される、外科的歯内療法の一つです。
歯の根の先端部分(根尖)を外科的に切除し、根の先に残った感染源や病変を直接除去することで、歯の保存を目指す治療法です。
根管が極端に湾曲している場合や、過去の治療により器具が到達できない部位に感染が残っている場合には、歯根端切除術が抜歯を回避するための有効な選択肢となることがあります。
この治療では、感染部位を正確に把握するための歯科用CTによる精密診断と、患部を拡大して確認できるマイクロスコープ下での精密な外科処置が成功の鍵となります。
当院では、症例ごとに歯の保存可能性や予後を慎重に評価したうえで、できる限り歯を残すための治療選択肢の一つとして歯根端切除術を提案しています。

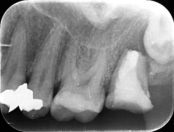
術前
術後

症例について

主訴:
歯茎にニキビみたいなのが出来た、歯ブラシを当てると違和感がある

治療内容:
根管治療で改善しない場合に、歯の根の先を外科的に取り除く治療です。

治療期間:90分1回

費用:165,000円(税込)

治療に関わるリスクまたは副作用:
術後に腫れや痛みが生じることがある

意図的再植

(外科的歯内療法)

意図的再植は、通常の根管治療や再根管治療、歯根端切除術だけでは改善が難しい場合に検討される、歯を残すための外科的歯内療法の一つです。
一時的に歯を抜去し、歯の根の状態を口腔外で直接確認したうえで処置を行い、元の位置に戻して固定します。
この方法の目的は、レントゲンや通常の根管治療だけでは対応しきれない原因(感染源、根の先の病変、根面の問題など)を、確実に処置できる環境で解決し、抜歯を回避して天然歯の保存を目指すことです。

術前
術後
意図的再植
意図的再植

症例について

主訴:
何度か治療しているがよくならない。歯を抜きたくない

治療内容:
一度歯を抜いて処置を行い、元の位置に戻す特殊な治療法です。

治療期間:各60分2回

費用:クラウンコア除去 5,500円(税込)/ 築造 16,500円(税込)/ 意図的再植 165,000円(税込)

治療に関わるリスクまたは副作用:
治療後の経過中に歯根吸収や骨との癒着が起こり、長期的に歯を保存できない場合があります。

担当歯科医師の紹介

あなたの歯を未来へ残す

高橋 周平

Shuhei Takahashi D.D.S Ph.D

経歴

歯内療法の費用

※自由診療(保険適用外)

初診料(診査)

紹介状あり

5,500円

紹介状なし

11,000円

破折診断

33,000円

根管治療

前歯

初回:77,000円 再根管治療:88,000円

小白歯

初回:99,000円 再根管治療:110,000円

大臼歯

初回:110,000円 再根管治療:132,000円

再生歯内療法

前歯

77,000円

小白歯

99,000円

大臼歯

110,000円

歯根端切除術

前歯

110,000円

小白歯

143,000円

大臼歯

165,000円

意図的再植

165,000円

コア除去

5,500円

隔壁形成

5,500円

穿孔封鎖

1箇所 22,000円

破折器具除去

1個 33,000円

築造

16,500円

なお、治療費につきましては、社会情勢や経済状況等により、やむを得ず変更となる場合がございます。
あらかじめご理解いただけますと幸いです。
お支払い方法は、お振込み(現金)、またはクレジットカードをご利用いただけます。

歯内療法のリスク

  • 再度感染する可能性があります
  • 治療後は歯が脆くなるため。歯根破折のリスクがあります
  • 治療後、数日間痛みや違和感がある場合があります

受診の流れ

(患者様)

初めて受診される方へ

「何度も根管治療をしているのに治らない」
「抜歯と言われたが、本当に残せないのか知りたい」
そのようなお悩みを抱えて来院される方が多くいらっしゃいます。
当院では、精密な診断をもとに歯を残す可能性を慎重に見極めることを大切にしています。

① ご予約

初診時は受付にて保険証の確認を行い、問診票のご記入をお願いしています。
問診票の記入にお時間を要するため、予約時間の10分ほど前にご来院いただく
とスムーズにご案内できます。気になる症状や不安な点は、できるだけ詳しく
ご記入ください。

根管治療のみ希望(紹介状がある方)場合

かかりつけの歯科医院様より、FAXにてご紹介をいただいた場合、紹介状を確認次第、当院より患者さまへお電話いたします。
そのお電話にて、初診のご予約をお取りいたします。

② 初診・カウンセリング

現在の症状やこれまでの治療経過について、丁寧にお話を伺います。
「なぜ治らないのか」「なぜ抜歯と言われたのか」といった疑問にもお答えします。

③ 精密検査

歯科用CTやマイクロスコープを用いて、歯の内部や根の状態を詳しく調べます。
通常のレントゲンでは分からない問題点を確認します。

④ 診断・治療方針の説明

検査結果をもとに、
・歯を残せる可能性があるか
・どのような治療が考えられるか
・それぞれのメリット・リスク
について分かりやすくご説明します。

⑤ 精密根管治療

治療にご同意いただいたうえで、ラバーダム防湿・マイクロスコープ下での精密根管治療を行います。

⑥ 治療後のフォロー

治療後の経過を確認し、必要に応じて被せ物や今後のケアについてご説明します。

根管治療のみ希望(紹介状がある方)の場合

治療終了後は、治療内容および注意事項をまとめた報告書をご紹介元の歯科医院様へお送りします。患者さまはご紹介元医院様にお戻りいただき、追加処置をお受けください。

受診の流れ

(紹介していただく医院様)

さっぽろ元町歯科クリニックでは、根管治療(歯内療法)を専門とした診査・治療を行っております。
再根管治療や抜歯適応の判断にお困りの症例についても、精密な診断のもと、歯の保存可能性を慎重に検討いたします。

① ご紹介・ご相談

患者さまのご紹介は、ご紹介フォームより承っております。
必要事項をご記入のうえ、FAX(011-722-0556) にて送信してください。
「医院地図および注意事項」は、患者さまへ必ずお渡しください。
FAX確認後、当院より患者さまへ直接ご連絡しご予約をお取りいたします。

② 初診・精密検査

初診時に、歯科用CTやマイクロスコープを用いた精密検査を行い、根管の形態、感染状況、歯の保存可能性を多角的に評価します。

③ 診断・治療方針の決定

検査結果をもとに、保存可能性、治療の難易度、予後について総合的に判断し、患者さまに十分な説明を行ったうえで治療方針を決定します。

④ 精密根管治療の実施

ラバーダム防湿下で、無菌的かつ精密な根管治療を行います。
必要に応じて再根管治療や外科的歯内療法も検討します。

⑤ 治療終了・ご報告

治療終了後は、治療内容・経過・今後の注意点をまとめ、紹介元医院さまへ診療情報をご報告いたします。

治療症例や学会活動を更新中

ご紹介フォーム

貴医院名
ご担当医
貴医院住所
貴医院電話番号
- -
貴医院FAX番号
- -
貴医院メールアドレス

患者名
フリガナ
患者電話番号
- -
治療部位
右側左側
上顎
下顎
急性症状
ご依頼内容

その他の場合
支台築造
連絡事項
特筆すべき症状や経過、連絡事項などございましたらご記入ください

診療予約について

RESERVE

患者様をお待たせしないために、完全予約制とさせていただいております。お電話もしくは予約フォームから予約をお取りいただけます。

9:00-13:00
14:30-18:30
休診日:日曜 / 祝日

〒065-0027
北海道札幌市東区北27条東15丁目1-20
地下鉄東豊線 元町駅2番出口より徒歩7分